Usage in organs

Abdominal organs

Guide both radiotherapy and ablation treatments

Primary liver cancer is the sixth most common cancer diagnosed worldwide. Fiducial markers can be used to guide both radiotherapy and ablation treatments. The implantation of traditional markers can, however, lead to bleeding, painful bile leakage and, for example in the case of colorectal metastases, to the spread of tumor cells (seeding).

Pancreatic cancer is the 12th most common cancer diagnosed worldwide. Fiducial markers can be used to guide both radiotherapy and surgical resection. Implantation of traditional markers can lead to bleeding, inflammation (pancreatitis) and abdominal pain.

Suitable for percutaneous implantation in most soft tissue organs

Gold Anchor is available in the same type of ultrathin needles that has been used for over 60 years for fine needle aspiration cytology (FNAC) with no to very little harm.

Gold Anchor is suitable for percutaneous implantation in most soft tissue organs, e.g. liver, pancreas, kidney, adrenal gland, breast, oligomets in abdomen and inguinal metastases. At Karolinska the implantation of Gold Anchors in abdominal tumors are sometimes done by oncologists but in most cases the patient is referred to radiologists – every physician who take needle biopsies is skilled to implant Gold Anchor.

“I have used the spinal needles (25G, that is 0.5 mm) for ultrasound guided biopsies and ultrasound guided deposition of gold markers for seven years. In my clinic we perform at least 120 such interventions per month. I have put these needles through all abdominal organs, including hollow organs such as the stomach, the colon or the small bowel, and the urinary bladder. I have taken biopsies by access through the abdominal aorta, the inferior vena cava, the liver veins and the jugular vein. In the last seven years I have not recorded (personally or for the rest of my unit) a single complication that ever required any therapeutic measure whatsoever.

In most cases, I use no anesthesia when I insert the 25G needles. After the intervention, our patients go home without observation.

It is easier to implant Gold Anchor than to perform Fine Needle Aspiration Cytology, which requires cell sampling from an exact location. Oncologists who refer the patients for implantation tell us that it is enough that the fiducial marker is delivered in the vicinity of the lesion. With the ultra-thin needle of 0.5 mm, we do not have to order blood coagulation tests, unless the patient is on blood-thinners. Furthermore, when using the thin Gold Anchor needle on liver lesions, we never observe any bile leakage that causes painful irritation of the peritoneum.”

Radiologist Fausto Labruto

M.D., Associate Professor, Department of Radiology, Karolinska University Hospital, Sweden

Percutaneous placement

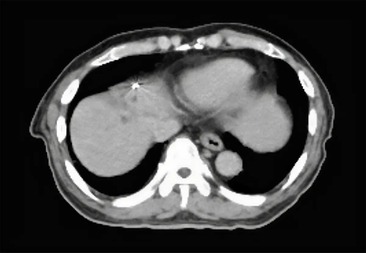
Gold Anchors are typically implanted percutaneously into abdominal organs. This x-ray video shows a 0.28×20 mm marker (GA200-20) implanted in liver while the patient breathes. This example illustrates the value of positioning soft tissue based on a fiducial marker rather than on distant bony anatomy.

X-ray video courtesy of Jun Ishida, MD, PhD, Vice Director, Diagnostic Radiology, Kobe Minimally invasive Cancer Center, Japan.

Intrafraction motion management is needed for liver SBRT, e.g. with Gold Anchor

See article from Copenhagen

The Gold Anchor has been used for our SBRT liver patients and for palliative cases with large tumors located close to risk organs. The fine needle deposition is smooth and painless. It is a top of the line equipment.”

Oncologist Peter Wersäll

M.D., Associate Professor, Department of Oncology, Karolinska University Hospital, Sweden

“EUS guided fiducial marker placement (EUS-FP) is an important method to place a fiducial marker safely and precisely especially into pancreatic cancer. Gold Anchor is an ideal marker for EUS-FP as it is easily back loaded into a FNA needle.”

Gastroenterologist & Interventional Endoscopist Reiko Ashida

M.D, PhD, FASGE, Co-Director, Departments of Cancer Survey and Gastrointestinal Oncology, Osaka International Cancer Institute, Japan

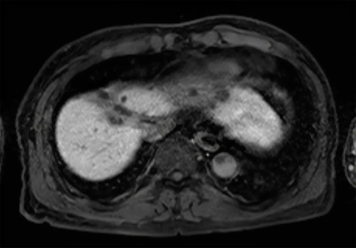
The image shows a 0.28×10 mm Gold Anchor marker implanted in pancreas.

Image courtesy of Reiko Ashida, MD, PhD, FASGE, Co-Director, Departments of Cancer Survey and Gastrointestinal Oncology, Osaka International Cancer Institute, Japan.

Endoscopic placement

Placement of Gold Anchor through endoscope in central in pancreatic and rectal tumors is possible by using Gold Anchor Introducer. The Introducer is used to transfer the marker over into a 22G endoscopic ultrasound aspiration needle (“EUS Needle”).

Gold Anchor Introducer is delivered pre-loaded with the Gold Anchor marker inside. It comes in a blister single pack, sterilized, ready for use, with the marker length clearly indicated on the package.

Gold Anchor for surgical guidance in pancreas

Gold Anchor can be placed under EUS guidance into pancreatic nodules, enabling precise intraoperative localization with ultrasound. By facilitating targeted surgical guidance, the use of Gold Anchor in the pancreas may help spare patients from more invasive procedures like Whipple resection.