
Usage in organs
Breast radiation therapy
Provides strong tissue attachment and good visibility on kV and MR
Radiation therapy is commonly used in the treatment of breast cancer for example for adjuvant therapy after surgery. It is common to mark the surgical cavity after lumpectomy with surgical clips that can be visualized on CBCT. Those clips, however, may not provide sufficient visibility for automated marker tracking systems. Additionally, it is sometimes difficult to attach these markers to the tumor bed.
Ultrahypofractionation and radiotherapy boost treatments are becoming more and more common as well as the delineation of the target area on MRI. Gold Anchor markers provide strong tissue attachment in the tumor bed and provide good visibility both on kV and MR images.

Improve accuracy
Gold Anchors can be implanted during surgery to mark the surgical cavity after lumpectomy. The markers can then be used to improve accuracy in delineation of the surgical cavity and for the verification of breast position during IGRT.
Image guidance may improve whole breast irradiation outcomes by ensuring adequate coverage of the target tissue on a daily basis while allowing smaller margins around the targets, thereby reducing exposure to lung and heart (for left sided cases).
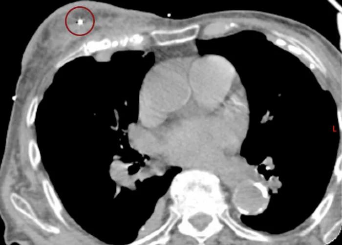
Marker based IGRT is also useful for APBI (Accelerated Partial Breast Irradiation) for example with CyberKnife as shown in the image to the right. .
Gold Anchor can also be placed percutaneously in breast, e.g. to facilitate a boost to breast tumors prior to surgery.

“We started using Gold Anchor in 2017 and have used it in more than 100 breast patients. Patients have tolerated this procedure very well with minimal discomfort. We also like being able to scan the patient the same day and our patients appreciate not having to return for another visit especially during COVID.“
Rashmi K. Benda, MD
Radiation Oncologist, Boca Raton Regional Hospital
Gold Anchor Markers for Breast Proton Therapy: Minimal Dose Perturbation
- Gold Anchor can also be used for proton therapy treatments of breast.
- The ultrathin Gold Anchor markers cause very low dose perturbation.
- Image to the left showing two 0.28×10 mm Gold Anchor markers implanted.
