
Usage in organs
Lung surgery
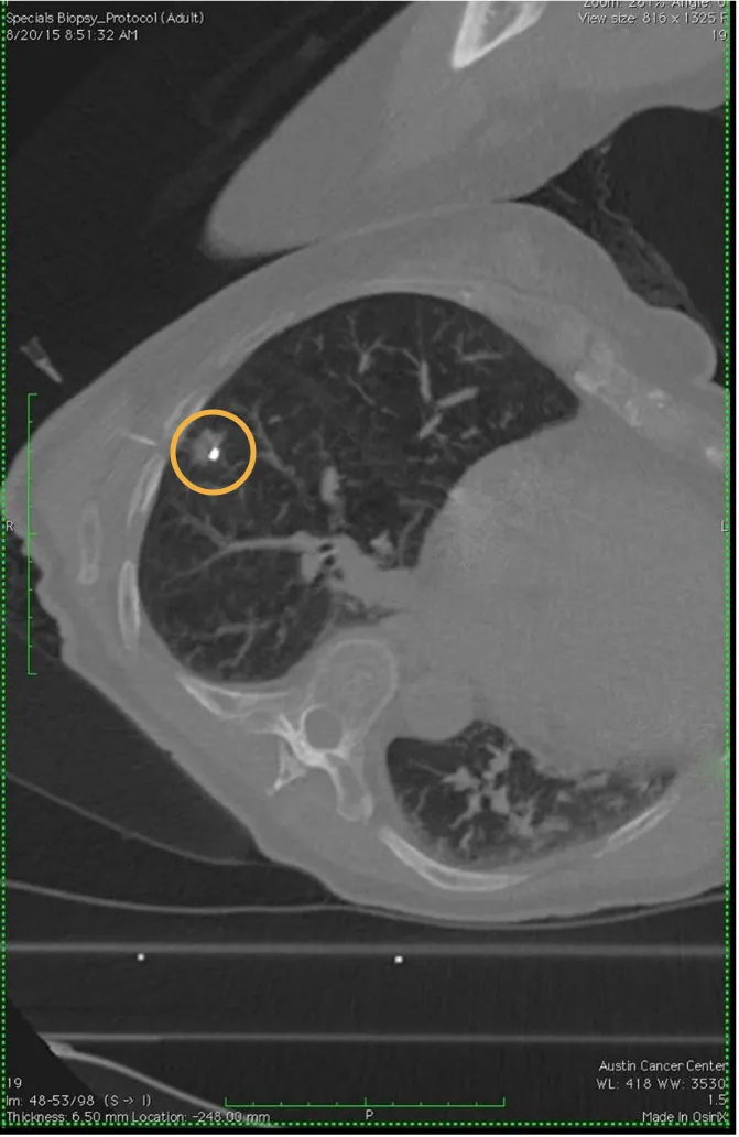
Gold Anchor for marking lung nodules prior to surgery
Lung nodules can be challenging to locate intraoperatively, especially if they are small, deep within the lung, or not visible on the lung surface.
Placing fiducial markers near or within the nodules before surgery (often guided by CT or bronchoscopy) has proven to be safe and effective and with a low failure rate for surgical localization1.
1) McDermott S, Frenk NE, Fintelmann FJ, Price MC, Ott HC, Muniappan A, Shepard JO, Sharma A. Preoperative CT-guided Fiducial Marker Placement for Surgical Localization of Pulmonary Nodules. Radiol Cardiothorac Imaging. 2022 Feb 10;4(1):e210194.
doi: 10.1148/ryct.210194.
To our knowledge, Gold Anchor is the only fiducial marker pre-loaded in ultrathin 25G spinal needles. These thin needles have been proven safe for transthoracic biopsies, with a very low rate of pneumothorax. See our folder for more information on safety of thin needles.
With the Gold Anchor Introducer, Gold Anchor markers can be placed through endobronchial ultrasound (EBUS) needles. This may be beneficial for central lung tumors or when transthoracic placement is not an option.
Gold Anchor implanted in lung tumor.